T R O M B O P O Y E S I S
MORFOLOGÍA
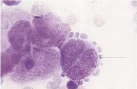
MEGACARIOBLASTOS
TAMAÑO: 10-24 μm
NÚCLEO
Forma: redonda, ovalada o en forma de riñón
RELACIÓN N/C: 3:1
Color: púrpura rojizo a morado
Cromatina: Fine, hebras distintas de densa cromatina
Nucléolos: Varios, 2-6 a menudo no se distingue o tal vez más clara
en las explosiones más grandes
CITOPLASMA
Color: Moderado a azul oscuro
Contenido: extensiones citoplasmáticas Blunt; no hay
gránulos azurófilos a gránulos finos en las explosiones más grandes.
Tinción: Wright, Objetivo 100X
Intervalo de referencia:
Médula ósea: 20% de precursores de megacariocitos en la médula ósea.
Sangre periférica: 0%
Nota: el megacarioblasto parece similar a la mieloblasto y pronormoblasto,
e identificación por la morfología por sí sola no es aconsejable.
Condiciones clínicas
Leucemia megacarioblástica aguda (M7)
Mieloproliferativos enfermedades-CML, CIMF
Los síndromes
mielodisplásicos
.................................................................................................................................................
PROMEGACARIOCITOS
TAMAÑO: 15-40μm
NÚCLEO: indentado
Forma: Irregular sangría, con 2-4 lóbulos
RELACIÓN N/C: 1: 2
Color: púrpura oscuro
Cromatina: Fine, condensada cerca periferia
Nucléolos: Variable
CITOPLASMA
Color: azul Moderado a rosado-azul
Contenido: pocas gránulos azulados; desarrollo de sistema de membrana de
demarcación formando pequeñas extensiones citoplasmáticas.
Tinción: Wright, Objetivo 100X
Intervalo de referencia:
Médula ósea: 25% de precursores de megacariocitos en la médula ósea
Sangre periférica: 0%
Condiciones clínicas:
leucemia megacarioblástica aguda (M7)
Enfermedades mieloproliferativas-CML, CIMF, trombocitopenia esencial (TE)
Los síndromes mielodisplásicos.
Leucemia mieloide aguda con
displasia multilinaje.
..................................................................................................................................................
MEGACARIOCITOS
TAMAÑO: 20-90 μm
NÚCLEO: 2-32 lóbulos (8 lóbulos: el más común)
Nota: El tamaño de la celda varía de acuerdo al número de lóbulos presentes.
CITOPLASMA: azul a rosa; abundante
Gránulos: azul rojizo; pocos a abundantes
Tincion: Wright, Objetivo 100X
Nota: Los megacariocitos generalmente se reportan como adecuado, aumentaron o disminuyeron y no como un porcentaje.
..................................................................................................................................................
PLAQUETAS
TAMAÑO: 1-4μ
NÚCLEO: Ninguno
CITOPLASMA
Color: azul claro
Tinción: Giemsa, Objetivo 100X
Contenido: Pequeños gránulos rojizos y azul
Consta de: Hialómero homogéneo o ligeramente basófilo (parte clara de la plaqueta) granulómero (parte granular de la plaqueta) color rojo púrpura.
Los gránulos son gránúlos alfa que contienen proteínas participando en el proceso de la coagulación (factores trombocíticos, fribrinógeno, factor de Von-Willebrand), los gránulos densos con calcio, fosfato, ADP, ATP y serotonina y los gránulos lisosómicos que contienen fasfatasa ácida, beta galactosidasa y otras enzimas.
.................................................................................................................................................
PLAQUETAS
TAMAÑO: 2-4 μm
NÚCLEO: ninguno
CITOPLASMA: Azul claro a incoloro
Gránulos: rojo al violeta, abundantes
RELACIÓN N/C: ninguno
Tinción: Wright, Objetivo 100X
Intervalo de referencia:
Médula ósea: ninguno
Sangre periférica: Campo de 100x de inmersión en aceite 7-25 por
(ampliación x1000).
..................................................................................................................................................
REFERENCIAS BIBLIOGRÁFICAS
http://books.google.com.gt/books?id=fndcMwFi0KgC&pg=PA135&dq=atlas+of+hematology+megakaryocyte&hl=es&sa=X&ei=mbtAVP-3Lc3OggTv54GwAQ&ved=0CCMQ6AEwAQ#v=onepage&q=atlas%20of%20hematology%20megakaryocyte&f=false
Rodak, B. & Carr, J.
(2012) Clinical Hematology Atlas. Elsevier Health
Sciences.
http://books.google.com.gt/books?id=4BrhVXV7EogC&pg=PT54&dq=atlas+of+hematology+megakaryocyte&hl=es&sa=X&ei=mbtAVP-3Lc3OggTv54GwAQ&ved=0CDEQ6AEwAw#v=onepage&q=atlas%20of%20hematology%20megakaryocyte&f=false
Naranjo, C. (2008). Atlas de Hematología Células Sanguíneas. (2º ed.).Manizales, Colombia: Universidad Católica de Manizales, 89,91,92pp.
Naranjo, C. (2008). Atlas de Hematología Células Sanguíneas. (2º ed.).Manizales, Colombia: Universidad Católica de Manizales, 89,91,92pp.








No hay comentarios:
Publicar un comentario